Invisalign in Clermont
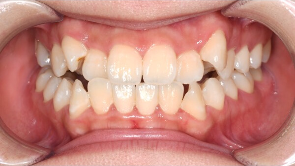
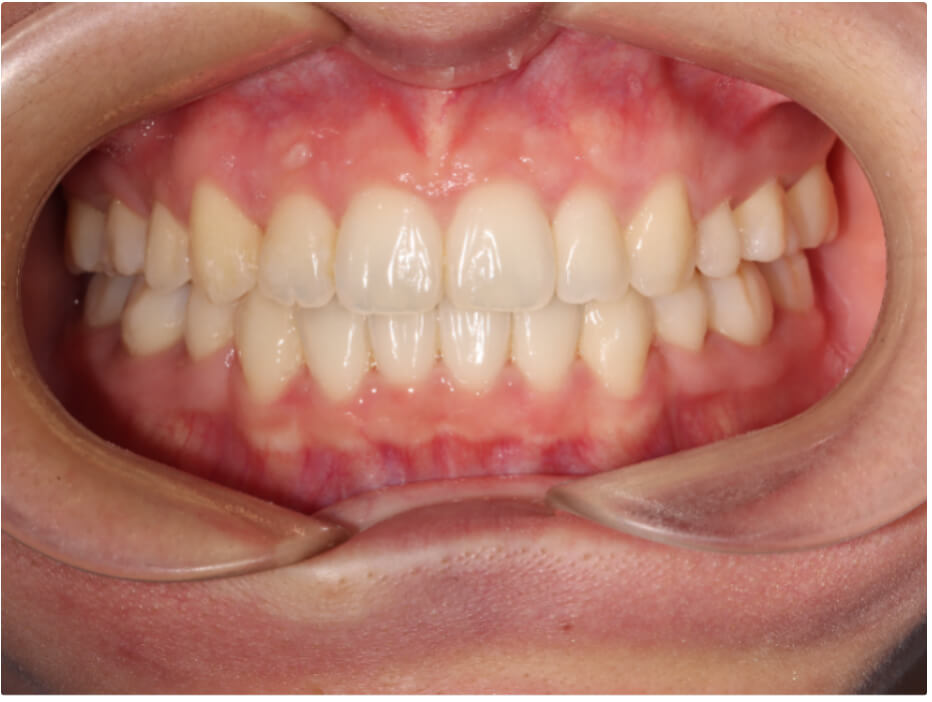
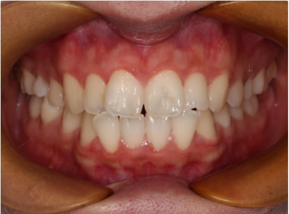
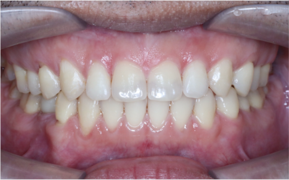
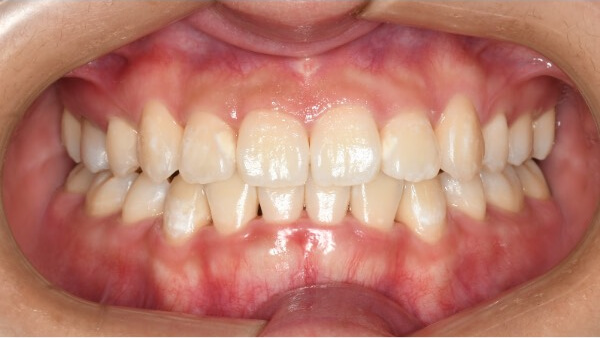
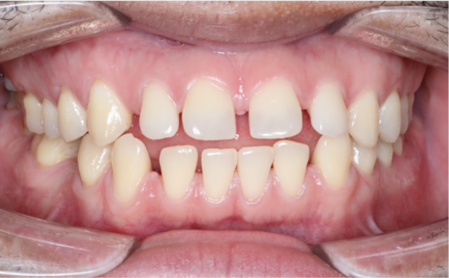
Real Patient Smile Transformations
What is Invisalign?
Invisalign is a modern orthodontic treatment that uses a series of clear, removable aligners to gradually straighten teeth. Unlike traditional metal braces, Invisalign aligners are virtually invisible, making them a popular choice for adults and teens who want to improve their smile without drawing attention to their orthodontic treatment.
Why Should I Get Invisalign?
Invisalign offers a variety of benefits over traditional braces. The clear aligners are discreet, comfortable, and removable, allowing you to maintain your normal lifestyle and oral hygiene routines. Invisalign treatment is also sometimes faster than traditional braces, with many patients achieving their desired results in as little as 6 to 18 months. Some of the key benefits of Invisalign include:
- Virtually Invisible Aligners
- Comfortable and Removable
- Faster Treatment Times
Benefits of Invisalign
Our state-of-the-art in-house dental lab uses advanced 3D printing to create custom Invisalign clear aligners. By producing aligners on-site, we significantly reduce costs and pass those savings directly to you.
With our 3D printing capabilities, we can produce your Invisalign aligners right here in our office. This means shorter wait times between fittings and faster overall treatment, getting you to your perfect smile sooner.
Our advanced technology allows us to design and print your Invisalign aligners with unparalleled accuracy. Enjoy the benefits of custom-made aligners without the wait, all thanks to our cutting-edge in-house dental lab.
Here’s How It Works
At Restoration Dental, we’ve invested in state-of-the-art technology and our own in-office lab to make your implant journey as smooth and efficient as possible. Here’s what you can expect:
Step 1
Step 2
Step 3
Step 1
Consultation and Planning
During your initial consultation, our dentists will assess your orthodontic needs, discuss your goals, and determine if Invisalign is the right treatment for you. We use advanced 3D imaging technology to create a precise digital model of your teeth and plan your custom treatment.
Step 2
Custom Aligner Creation
Using the digital model of your teeth, our team will design your custom Invisalign aligners. These aligners are crafted from smooth, comfortable, and virtually invisible BPA-free plastic, ensuring a perfect fit and optimal results.
Step 3
Treatment and Progress Monitoring
You’ll wear each set of aligners for about two weeks, removing them only to eat, drink, brush, and floss. As you replace each aligner with the next in the series, your teeth will gradually shift into their desired positions. Our dentists will schedule regular check-ins to monitor your progress and ensure your treatment stays on track.
Tools That Elevate Your Experience
Our cutting-edge tools are designed to provide reliable, long-lasting results that look and feel natural.
Intraoral Scanners
Our intraoral scanners capture highly accurate digital impressions of your teeth, eliminating the need for messy, uncomfortable traditional impressions. This technology streamlines the smile makeover process, allowing us to create precise, comfortable restorations that blend seamlessly with your new smile.
3D Printers
Our 3D printers allow us to create precise, customized dental models and surgical guides. This technology is particularly useful for planning and executing complex smile makeover treatments, such as dental implant placements.
Post-Op Care
At Restoration Dental, our commitment to your well-being extends beyond the procedure itself. Our team is here to provide you with comprehensive post-operative care, so you can enjoy a smooth and comfortable recovery.
- Download resource
- Download resource
- Download resource
Frequently Asked Questions
Have questions? We’ve got you covered.
The length of your Invisalign treatment will depend on the complexity of your case. Invisalign can take anywhere from 3-18 months to complete, and that’s because everyone’s needs are different. Our dentists will provide you with a personalized treatment timeline during your initial consultation.
Invisalign treatment is generally more comfortable than traditional braces. The smooth, plastic aligners are designed to fit snugly over your teeth, without the irritation and discomfort associated with metal brackets and wires. You may experience some mild pressure or tenderness when you first start wearing a new set of aligners, but this typically subsides within a day or two.
One of the advantages of Invisalign is that the aligners are removable. This means you can take them out to eat, drink, brush, and floss, allowing you to maintain your normal lifestyle and oral hygiene routines. However, it's important to remember to wear your aligners for 20 to 22 hours per day to stay on track with your treatment timeline.