Skip to content

Invisalign in Clermont

Invisalign Day Special
November 7th

$1,300 OFF Invisalign

Free Consultation

Free Smile Scan

And Instant Before/After Simulation

Free Whitening

Free Retainers
Free Giveaways

Chance to Win

A FREE Invisalign Case

Call now

To reserve your spot: 352-989-5815

Limited spots available – don’t miss out!

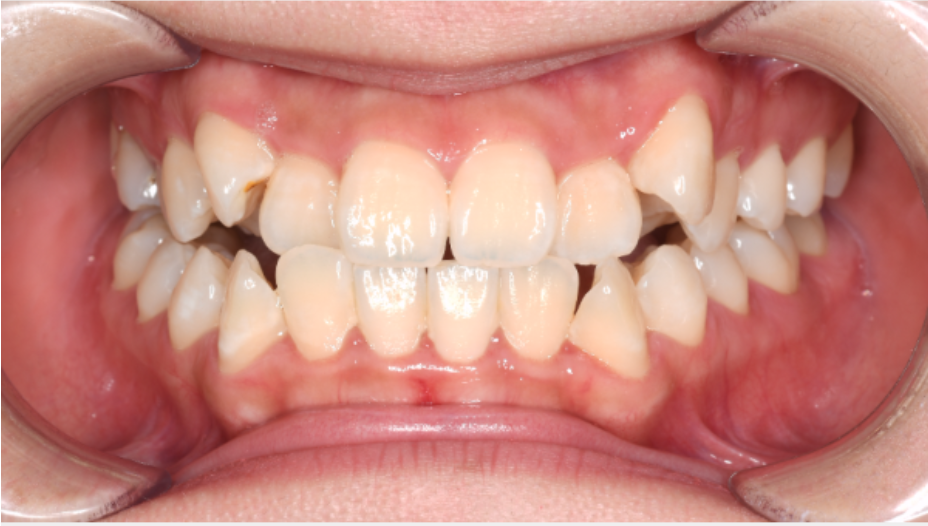
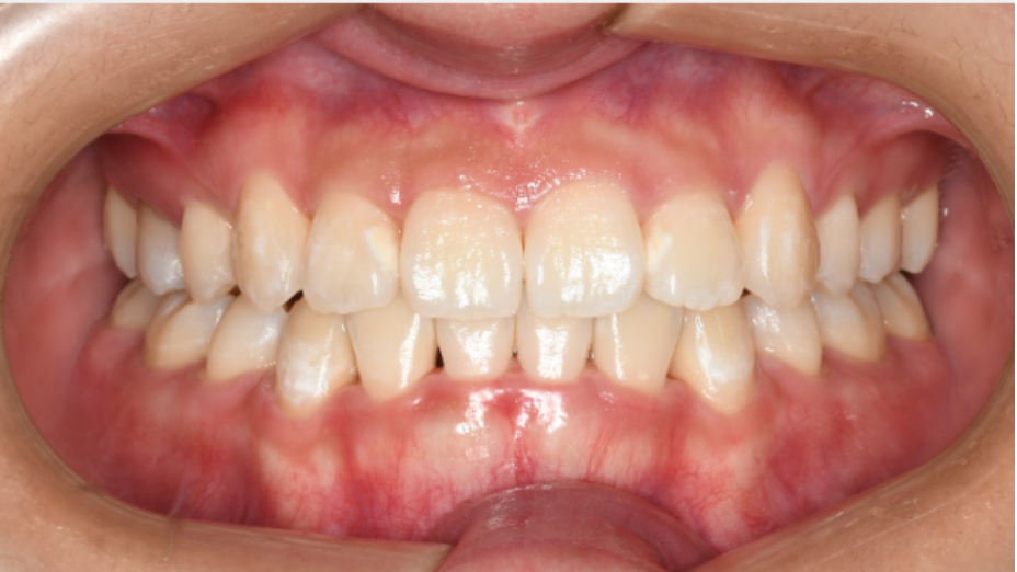
Real Patient Smile Transformations

What is Invisalign?

Invisalign is a modern orthodontic treatment that uses a series of clear, removable aligners to gradually straighten teeth. Unlike traditional metal braces, Invisalign aligners are virtually invisible, making them a popular choice for adults and teens who want to improve their smile without drawing attention to their orthodontic treatment.

Why Should I Get Invisalign?

Invisalign offers a variety of benefits over traditional braces. The clear aligners are discreet, comfortable, and removable, allowing you to maintain your normal lifestyle and oral hygiene routines. Invisalign treatment is also sometimes faster than traditional braces, with many patients achieving their desired results in as little as 6 to 18 months. Some of the key benefits of Invisalign include:

Benefits of Invisalign

Cutting-Edge Technology, Lower Costs
Our state-of-the-art in-house dental lab uses advanced 3D printing to create custom Invisalign clear aligners. By producing aligners on-site, we significantly reduce costs and pass those savings directly to you.
Faster Treatment, Quicker Results
With our 3D printing capabilities, we can produce your Invisalign aligners right here in our office. This means shorter wait times between fittings and faster overall treatment, getting you to your perfect smile sooner.
Precision and Convenience Combined
Our advanced technology allows us to design and print your Invisalign aligners with unparalleled accuracy. Enjoy the benefits of custom-made aligners without the wait, all thanks to our cutting-edge in-house dental lab.

Here’s How It Works

At Restoration Dental, we’ve invested in state-of-the-art technology and our own in-office lab to make your implant journey as smooth and efficient as possible. Here’s what you can expect:

Consultation and Planning

During your initial consultation, our dentists will assess your orthodontic needs, discuss your goals, and determine if Invisalign is the right treatment for you. We use advanced 3D imaging technology to create a precise digital model of your teeth and plan your custom treatment.

Custom Aligner Creation

Using the digital model of your teeth, our team will design your custom Invisalign aligners. These aligners are crafted from smooth, comfortable, and virtually invisible BPA-free plastic, ensuring a perfect fit and optimal results.

Treatment and Progress Monitoring

You’ll wear each set of aligners for about two weeks, removing them only to eat, drink, brush, and floss. As you replace each aligner with the next in the series, your teeth will gradually shift into their desired positions. Our dentists will schedule regular check-ins to monitor your progress and ensure your treatment stays on track.

Tools That Elevate Your Experience

Our cutting-edge tools are designed to provide reliable, long-lasting results that look and feel natural.

Intraoral Scanners

Our intraoral scanners capture highly accurate digital impressions of your teeth, eliminating the need for messy, uncomfortable traditional impressions. This technology streamlines the smile makeover process, allowing us to create precise, comfortable restorations that blend seamlessly with your new smile.

3D Printers

Our 3D printers allow us to create precise, customized dental models and surgical guides. This technology is particularly useful for planning and executing complex smile makeover treatments, such as dental implant placements.

Post-Op Care

At Restoration Dental, our commitment to your well-being extends beyond the procedure itself. Our team is here to provide you with comprehensive post-operative care, so you can enjoy a smooth and comfortable recovery.

Frequently Asked Questions

Have questions? We’ve got you covered.
How long does Invisalign treatment take?
The length of your Invisalign treatment will depend on the complexity of your case. Invisalign can take anywhere from 3-18 months to complete, and that’s because everyone’s needs are different. Our dentists will provide you with a personalized treatment timeline during your initial consultation.
Is Invisalign painful?
Invisalign treatment is generally more comfortable than traditional braces. The smooth, plastic aligners are designed to fit snugly over your teeth, without the irritation and discomfort associated with metal brackets and wires. You may experience some mild pressure or tenderness when you first start wearing a new set of aligners, but this typically subsides within a day or two.
Can I eat and drink with Invisalign?
One of the advantages of Invisalign is that the aligners are removable. This means you can take them out to eat, drink, brush, and floss, allowing you to maintain your normal lifestyle and oral hygiene routines. However, it's important to remember to wear your aligners for 20 to 22 hours per day to stay on track with your treatment timeline.

Get In Touch

Request an Appointment

**Requested time is not final until you receive confirmation from our office.
Please do not submit any Protected Health Information (PHI).